Your cosmetic dentistry dentist is not as concerned with oral hygiene and/or the diagnosis and treatment of diseases as is your more traditional dentist. Instead, he will use cosmetic dentistry procedures for various forms of dental restoration in order to enhance the appearance of your smile, mouth and teeth. Put another way, traditional dentist provide services that are medically necessary while cosmetic dentistry dentists provide services to you that you choose and that are basically geared towards improving your appearance.
That is not to imply that your cosmetic dentistry dentist is not a highly skilled professional. In fact, elective cosmetic improvements to your teeth, mouth and smile require a comprehensive knowledge base as well as the vision to see and create a new you. In addition, cosmetic dentistry dentists use the most modern advancements in technology to produce results that are realistically colored, natural-looking and of superior strength and durability. Also, modern techniques for cosmetic dentistry are based on optimally efficient, timesaving procedures that maintain a much higher percentage of your natural tooth structures.
Who are the best candidates for cosmetic dentistry?
Millions people around the world are ideal candidates for cosmetic dentistry procedures. There is a versatile array of services that your cosmetic dentistry dentist will offer you. Let’s take a look at some of the most popular cosmetic dentistry services:
- White composite bonding services: If you happen to chip of or break one of your teeth - or if they are discolored, or even decayed, composite bonding techniques can restore your appearance. Non-metal, nontoxic quartz resin that looks incredibly like natural enamel in dentin can be applied to your tooth and then hardened with highly intense light beams. The result is a structurally sound, computer-milled restoration that blends in seamlessly with the surrounding natural teeth.
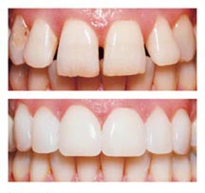
- Teeth whitening services: One of the most popular services offered by your cosmetic dentistry dentist is teeth whitening, or bleaching. A bleaching gel is applied to your teeth and then a super intense, yet completely harmless blue green light is directed onto the gel to activate it. The results are miraculous and produce movie star smiles very rapidly.
- Inlays/Onlays: Also known as indirect fillings, inlays and onlays made from porcelain or composite materials are a long-lasting yet cosmetic way to provide a “filling” to teeth with tooth decay or similar structural damage. Whereas dental fillings are molded into place within the mouth during a dental visit, inlays and onlays are created in a dental laboratory before being fitted and bonded into place by your dentist.
- Dental Veneers: Composite or porcelain laminates that are bonded to the surface of a tooth to correct and repair chips and cracks will improve a worn appearance or severe tooth discoloration. Veneers may also be recommended if you have gaps in your teeth or if you have not had success with teeth whitening.
- Dental Implants: Dental implants are artificial tooth root replacements that are used as a part of prosthetic (artificial replacement) dentistry in order to compensate for tooth loss. Often the result is not only an enhanced smile, but also a more youthful appearance, since missing teeth cause the face to collapse, making you look older.
- Smile Makeover: Smile makeovers involve a comprehensive assessment of your smile aesthetics in order to improve its overall appearance. Typically one or more cosmetic dentistry procedure, such as dental veneers, dental implants, gingival sculpting and teeth whitening, will be required for several teeth in both the upper and lower arches in order to achieve the look you want.
- Full mouth reconstruction: While consulting with you about a smile makeover to primarily improve the aesthetic appearance of your smile, your dentist may discover that there is a need to provide necessary treatment to correct functional problems with your bite, muscles, teeth and bone structure. If you need full mouth reconstruction, the materials available today make it possible for your dentist to provide you with durable, functional and clinically sound treatments that also look natural.
Cosmetic dentistry offers many options for people who are unhappy with their smile. If you are one of these people, we encourage you to read our comprehensive cosmetic procedure articles to learn about the various treatments available to beautify your smile.
The information in the article is not intended to substitute for the medical expertise and advice of your healthcare provider. We encourage you to discuss any decisions about treatment or care an appropriate healthcare provider.

This is really nice work… and really appreciated one…
john korner
Dentist in chennai
Dentist in chennai – August 21, 2009 , 7:04 AM
This is really nice work… and really appreciated one…
Dentist in chennai – August 21, 2009 , 7:04 AM
nice comment
Dentist in chennai – August 21, 2009 , 7:05 AM
[...] Cosmetic Dentistry Dentist (3) [...]
Dental Bone Graft Dentist | Guide to Dentistry – June 2, 2010 , 4:36 PM
[...] Cosmetic Dentistry Dentist (3) [...]
Myths About Cosmetic Dentistry | Guide to Dentistry – June 4, 2010 , 12:39 PM
I would have to totally agree with you, to the fact that cosmetic dentist are more like the luxury dentist that give you what you want - and a general dentist gives you what you need. A cosmetic dentist is more of an artist, not to say that their not great general dentist as well. Great post with very helpful content - Thanks and keep up the good work! West Palm Beach Dentists
Keith Chapman – July 20, 2010 , 5:36 AM
Thank you for this very informative article this will make people to be aware about dental health and make choices about the service and the clinic that they want to go. For more info about dental health you can visit our site at http://www.kauaismilecenter.com/
Kauia Cosmetic Dentist – July 22, 2010 , 7:25 AM